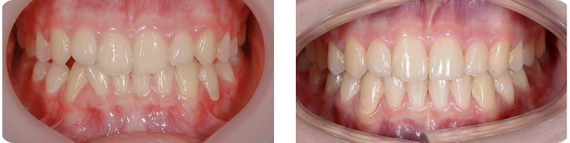
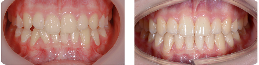
Ortodonție
Serviciile noastre
-
Implantologie
-
Estetică Dentară
-
Parodontologie
-
Radiografie
Vrei să faci o programare?
Suntem aici pentru tine, cu servicii stomatologice adaptate nevoilor tale.
Ne dedicăm fiecărei intervenții cu grijă și profesionalism, pentru a-ți reda sănătatea și frumusețea zâmbetului.
Informații generale
Beneficii și comfort
Many dental practices prioritize creating a comfortable and stress-free environment for patients. This
includes offering amenities like sedation dentistry for those with dental anxiety, flexible scheduling options, and comprehensive care under one roof.
-
Experienced team
-
State-of-the-art technology
-
Experienced team
-
Experienced team
Beneficii și comfort
- Consultația inițială la cabinetul stomatologic: În această etapă, veți avea o consultație inițială cu ortodontul pentru a evalua nevoile dumneavoastra ortodontice și pentru a discuta despre opțiunile de tratament. Ortodontul va evalua starea danturii, va realiza un set de fotografii extra-orale si intra-orale, radiografii, scanari si/sau amprente ale dintilor pentru a crea un plan de tratament personalizat.
- Planificarea tratamentului: Pe baza evaluării inițiale, ortodontul va crea un plan de tratament personalizat. Aceasta implică stabilirea poziției ideale a dinților și determinarea mișcărilor necesare pentru a ajunge la această poziție.
- Prezentarea planului de tratament și obtinerea consimțământului
- Pregătirea dinților: Înainte de aplicarea aparatului ortodontic fix, ortodontul poate recomanda efectuarea unor proceduri de igienizare profesională, curățarea dinților și tratarea cariilor existente. De asemenea, în unele cazuri, este necesară extracția unor dinți pentru a crea spațiu suficient pentru alinierea dinților.
- Aplicarea aparatului: Această etapă implica curățarea și uscarea dinților, aplicarea unui agent adeziv și fixarea bracket-urilor pe fiecare dinte.
- Ajustări și vizite regulate: Pe parcursul tratamentului ortodontic, veți fi programat pentru vizite regulate la ortodont (activari), aproximativ o dată la 4-6 săptămâni. În aceste vizite, ortodontul va face activari ale aparatului prin schimbarea arcurilor, înlocuirea legăturilor elastice sau alte modificări necesare pentru a continua mișcarea dinților în direcția corectă.
- Finalizarea tratamentului și aplicarea contentiei: După ce ortodontul consideră că tratamentul ortodontic este complet, aparatul ortodontic fix si adezivul de la nivelul dintilor va fi îndepărtat. Urmeaza sa fie aplicată contentia pentru a menține poziția corectă a dinților pe termen lung.
- Dispensarizare regulată: aceste controale sunt necesare pentru verificarea stabilitatii contentiilor, controlul muscaturii si a pozitiei dintilor. Se recomanda a fi facute la intervale de 1, 3 si 6 luni.
It’s important to note that teeth whitening is not permanent. The longevity of the results depends on your lifestyle and oral hygiene habits. Avoiding foods and drinks that cause staining, not smoking, and maintaining good oral hygiene can help prolong the effects of whitening treatments.
Frequently Asked Questions
Se recomandă ca primul consult ortodontic să aibă loc în jurul vârstei de 7 ani. În această perioadă, copilul are în general o combinație de dinți de lapte și dinți permanenți, iar ortodontul poate evalua dezvoltarea maxilarelor și a dinților și poate identifica eventualele probleme ortodontice în stadiu incipient.
I am item content. Click edit button to change this text. Lorem ipsum dolor sit amet, consectetur adipiscing elit. Ut elit tellus, luctus nec ullamcorper mattis, pulvinar dapibus leo.
I am item content. Click edit button to change this text. Lorem ipsum dolor sit amet, consectetur adipiscing elit. Ut elit tellus, luctus nec ullamcorper mattis, pulvinar dapibus leo.
I am item content. Click edit button to change this text. Lorem ipsum dolor sit amet, consectetur adipiscing elit. Ut elit tellus, luctus nec ullamcorper mattis, pulvinar dapibus leo.
I am item content. Click edit button to change this text. Lorem ipsum dolor sit amet, consectetur adipiscing elit. Ut elit tellus, luctus nec ullamcorper mattis, pulvinar dapibus leo.
I am item content. Click edit button to change this text. Lorem ipsum dolor sit amet, consectetur adipiscing elit. Ut elit tellus, luctus nec ullamcorper mattis, pulvinar dapibus leo.
I am item content. Click edit button to change this text. Lorem ipsum dolor sit amet, consectetur adipiscing elit. Ut elit tellus, luctus nec ullamcorper mattis, pulvinar dapibus leo.
I am item content. Click edit button to change this text. Lorem ipsum dolor sit amet, consectetur adipiscing elit. Ut elit tellus, luctus nec ullamcorper mattis, pulvinar dapibus leo.
I am item content. Click edit button to change this text. Lorem ipsum dolor sit amet, consectetur adipiscing elit. Ut elit tellus, luctus nec ullamcorper mattis, pulvinar dapibus leo.
I am item content. Click edit button to change this text. Lorem ipsum dolor sit amet, consectetur adipiscing elit. Ut elit tellus, luctus nec ullamcorper mattis, pulvinar dapibus leo.
I am item content. Click edit button to change this text. Lorem ipsum dolor sit amet, consectetur adipiscing elit. Ut elit tellus, luctus nec ullamcorper mattis, pulvinar dapibus leo.
I am item content. Click edit button to change this text. Lorem ipsum dolor sit amet, consectetur adipiscing elit. Ut elit tellus, luctus nec ullamcorper mattis, pulvinar dapibus leo.
I am item content. Click edit button to change this text. Lorem ipsum dolor sit amet, consectetur adipiscing elit. Ut elit tellus, luctus nec ullamcorper mattis, pulvinar dapibus leo.
I am item content. Click edit button to change this text. Lorem ipsum dolor sit amet, consectetur adipiscing elit. Ut elit tellus, luctus nec ullamcorper mattis, pulvinar dapibus leo.
Ai nevoie de o programare?
Contact : +40 771 732 938
Orar clinică
Luni – Vineri 9:00 – 21:00
Sâmbătă 9:00 – 14:00


