+40 771 732 938   Oradea, Parc IC Brătianu nr. 5   L – V: 9:00 – 21:00 / S:  9:00 – 14:00 / D: închis

Dental-Art Clinică Endodonție Oradea

Dental Art - Cabinet Endodonție Oradea

Serviciile noastre

  • Implantologie

  • Estetică Dentară

  • Parodontologie

  • Radiografie

Vrei să faci o programare?

Suntem aici pentru tine, cu servicii stomatologice adaptate nevoilor tale.
Ne dedicăm fiecărei intervenții cu grijă și profesionalism, pentru a-ți reda sănătatea și frumusețea zâmbetului.

Dental Art - Cabinet Endodonție Oradea
Dental Art - Cabinet Endodonție Oradea

Informații generale

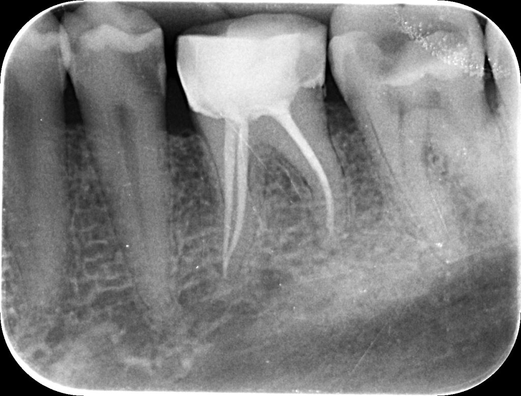
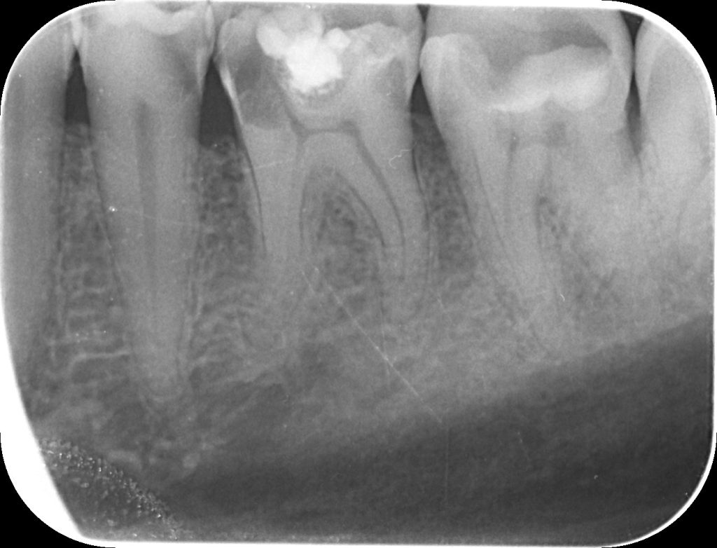
Endodonția este ramura stomatologiei care se ocupă cu diagnosticul și tratamentul afecțiunilor pulpei dentare (nervul dintelui) și ale țesuturilor periapicale, situate în jurul rădăcinii dentare. Printre cauzele frecvente ale acestor afecțiuni se numără cariile profunde, traumatismele dentare, precum și diverse proceduri stomatologice agresive, cum ar fi șlefuirea excesivă a dinților.

Atunci când infecția bacteriană depășește vârful rădăcinii, aceasta poate afecta osul maxilar, conducând la apariția parodontitei apicale. În astfel de cazuri, se poate forma un granulom periapical (colecție purulentă asociată cu distrucție osoasă localizată).

Un tratament endodontic realizat conform celor mai înalte standarde, cu ajutorul microscopului dentar, al endometrului electronic și al sistemelor mecanice rotative, poate face diferența între conservarea dintelui pe arcadă și necesitatea extracției acestuia.

Dental Art - Cabinet Endodonție Oradea
Cabinet Endodonție Oradea
Dental Art - Cabinet Endodonție Oradea
Clinică Endodonție Oradea

Etapele tratamentului endodontic sunt

  • Evaluarea radiologică – analiza atentă a radiografiei pentru stabilirea unui diagnostic precis.

  • Anestezia locală – pentru asigurarea confortului pacientului pe durata tratamentului.

  • Izolarea dintelui – se aplică diga de cauciuc, urmată de realizarea cavității de acces către camera pulpară și canalele radiculare.

  • Îndepărtarea țesuturilor alterate – se elimină toate materialele vechi de obturație, țesuturile cariate și infectate, până la atingerea țesuturilor dentare sănătoase.

  • Extragerea pulpei dentare – se îndepărtează complet pulpa din camera pulpară și din canalele radiculare.

  • Măsurarea, lărgirea și dezinfectarea canalelor – cu ajutorul tehnologiilor moderne pentru o curățare eficientă.

  • Obturarea canalelor radiculare – acestea sunt sigilate etanș cu materiale biocompatibile, prevenindu-se astfel reinfectarea.

Restaurarea dintelui după tratamentul endodontic

Având în vedere pierderea semnificativă de țesut dentar dur, dintele tratat endodontic necesită adesea reconstrucție cu pivot din fibră de sticlă și protezare prin coroană dentară, pentru a-i reda rezistența mecanică și a preveni fracturarea.

Postoperator

După finalizarea tratamentului, pacientul poate resimți o sensibilitate ușoară sau durere moderată, gestionabilă prin administrarea de analgezice și antiinflamatoare, conform recomandării medicului.

Ai nevoie de un medic endodont în Oradea?

La Clinica de Endodonție Dental Art Oradea, oferim tratamente endodontice moderne, minim invazive, menite să salveze și să protejeze dinții naturali.

Programează-te pentru o consultație și beneficiezi de expertiza echipei noastre specializate în endodonție!

Dental Art - Clinică Endodonție Oradea
Dental Art - Clinică Endodonție Oradea
Dental Art - Clinică Endodonție Oradea
  • Echipă cu experiență

  • Tehnologie de top

  • Toate serviciile la un loc

  • Tratament personalizat

Întrebări frecvente despre tratamentul endodontic

Cum știu dacă am nevoie de un tratament de canal?
Simptomele pot include durere spontană, sensibilitate prelungită la cald sau rece, umflături sau decolorarea dintelui. Uneori, dintele nu doare deloc, dar infecția poate fi descoperită la o radiografie. Doar medicul stomatolog poate confirma necesitatea unui tratament endodontic.
E dureros tratamentul de canal?
Nu. Tratamentul se face sub anestezie locală și este, în cele mai multe cazuri, complet nedureros. La Dental Art folosim tehnologie modernă și tratăm sub microscop, ceea ce permite intervenții precise, rapide și confortabile pentru pacient.
De ce trebuie pusă o coroană după tratamentul de canal?
După îndepărtarea nervului, dintele devine mai fragil și mai predispus la fracturi. O coroană dentară protejează structura rămasă și restabilește funcționalitatea completă. În unele cazuri, se folosește și un pivot de fibră de sticlă pentru susținere internă.
Ce se întâmplă dacă nu tratez o infecție dentară?
O infecție netratată se poate extinde către osul maxilar, sinusuri sau chiar alte zone ale corpului. În timp, poate duce la pierderea dintelui sau complicații sistemice. Tratamentul de canal oprește această evoluție și salvează dintele.
Este nevoie de mai multe ședințe pentru un tratament endodontic?
Depinde de complexitatea cazului. Unele tratamente se finalizează într-o singură ședință, dar infecțiile severe sau canalele complicate pot necesita două sau mai multe vizite. În cadrul consultației, îți vom explica clar planul de tratament personalizat.
Contact

Programează-te acum

Open chat
Ai nevoie de ajutor?
Bună ziua, 👋
Cum vă putem ajuta?