Ortodonție – Cabinet Ortodonție Oradea
Serviciile noastre
-
Implantologie
-
Estetică Dentară
-
Parodontologie
-
Radiografie
Vrei să faci o programare?
Suntem aici pentru tine, cu servicii stomatologice adaptate nevoilor tale.
Ne dedicăm fiecărei intervenții cu grijă și profesionalism, pentru a-ți reda sănătatea și frumusețea zâmbetului.
Nu este niciodată prea târziu pentru un zâmbet frumos. Cu toții ne dorim dinți drepți, dar și un zâmbet care să fie nu doar estetic, ci și funcțional și sănătos. Medicul dentist te poate ajuta să alegi tratamentul ortodontic potrivit, astfel încât să obții rezultatele dorite într-un mod sigur, confortabil și adaptat stilului tău de viață.
Ce este ortodonția și de ce este importantă?
Ortodonția este o ramură a stomatologiei care se ocupă cu diagnosticarea, prevenirea și corectarea poziției dinților și a oaselor maxilare. Nu este doar o chestiune estetică – dinții aliniați corect contribuie la o masticație eficientă, o igienă orală mai ușoară și pot preveni afecțiuni ale articulației temporo-mandibulare.
Cine are nevoie de tratament ortodontic?
- Copiii, începând chiar de la vârsta de 7 ani, pot beneficia de tratamente interceptive.
- Adolescenții, pentru corectarea poziției dinților după erupția completă.
- Adulții, care își doresc o corectare estetică sau funcțională a mușcăturii – ortodonția nu are limită de vârstă!
Tipuri de aparate dentare
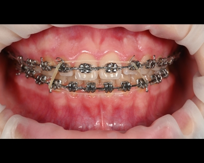
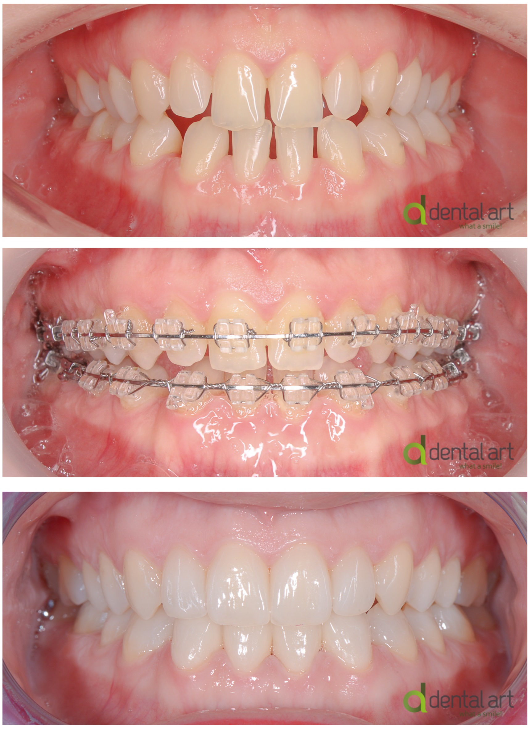
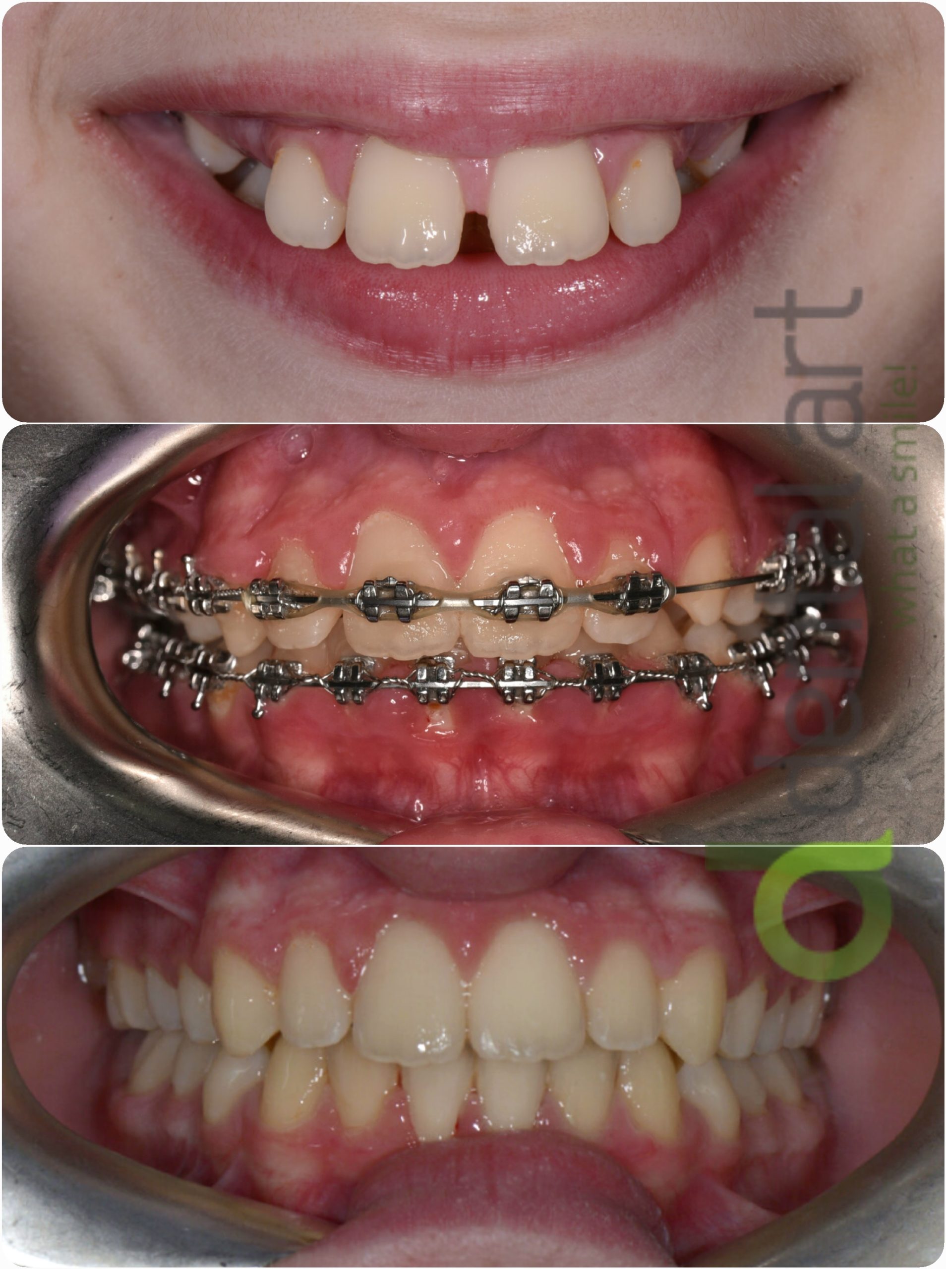
Aparat ortodontic fix - metalic
Este cel mai frecvent utilizat tip de aparat ortodontic, format din bracket-uri metalice lipite pe fața dinților permanenți cu ajutorul unui adeziv special. Bracket-urile sunt conectate printr-un arc metalic care exercită presiune asupra dinților pentru a-i deplasa în poziția corectă.
Beneficii: eficient, cel mai accesibil ca preț
Dezavantaje: vizibil, poate cauza disconfort inițial
Aparat ortodontic fix - ceramic
Acest tip de aparat funcționează similar cu cel metalic, dar utilizează bracket-uri din ceramică, într-o nuanță apropiată de culoarea naturală a dinților. Este preferat de pacienții care își doresc un tratament ortodontic discret, fără a compromite eficiența.
Beneficii: estetică superioară, mai puțin vizibil
Dezavantaje: cost mai ridicat, bracket-urile pot fi mai fragile
Aparat ortodontic mobil
Aparatele ortodontice mobile sunt dispozitive personalizate care pot fi aplicate și îndepărtate cu ușurință de către pacient. Sunt recomandate în special copiilor și adolescenților aflați în perioada de creștere, când poziția dinților poate fi corectată progresiv.
Aceste aparate sunt mai puțin invazive și ajută la ghidarea dezvoltării maxilarelor, corectarea obiceiurilor vicioase sau menținerea rezultatelor după tratamente ortodontice fixe.
Beneficii: confort sporit, ușor de întreținut, adaptate vârstei de creștere
Dezavantaje: eficiență redusă dacă nu sunt purtate conform indicațiilor
Aparat ortodontic lingual
Aparatul ortodontic lingual este un tip de aparat fix care se montează pe fața interioară a dinților (spre limbă), fiind complet invizibil în timpul vorbirii sau zâmbetului. Este o opțiune premium, ideală pentru pacienții care își doresc corectarea discretă a alinierii dentare fără compromisuri estetice.
Tratamentul necesită o planificare atentă și o perioadă de adaptare mai lungă, dar oferă rezultate excelente cu un impact vizual minim.
Beneficii: complet invizibil, rezultate comparabile cu aparatele fixe clasice
Dezavantaje: mai costisitor, poate necesita mai mult timp de adaptare
Gutiere transparente (alignere)
Alignerele sunt o soluție ortodontică modernă, invizibilă și detașabilă, ideală pentru pacienții care își doresc un tratament discret, fără bracket-uri sau fire metalice. Aceste gutiere personalizate sunt realizate dintr-un material transparent, confortabil și se aplică direct pe dinți pentru a corecta treptat poziția acestora.
Sunt recomandate în special adulților sau adolescenților cu un stil de viață activ, care își doresc o estetică impecabilă pe durata tratamentului.
Beneficii: invizibile, confortabile, fără restricții alimentare majore
Dezavantaje: eficiență dependentă de purtare constantă (minimum 22 ore/zi)
Pentru rezultate optime, alignerele trebuie purtate zilnic, fiind îndepărtate doar în timpul meselor și al igienei orale.
De ce să mergi la medicul ortodont?
Pentru că un tratament ortodontic corect îți oferă dinți aliniați estetic, o mușcătură echilibrată, o masticație mai eficientă, reduce riscul de carii și afecțiuni parodontale, previne uzura prematură a dinților și, nu în ultimul rând, îți crește încrederea în tine.
Ortodonția nu este doar despre estetică, ci despre sănătate, funcționalitate și confort. Alegerea tipului potrivit de aparat dentar trebuie făcută împreună cu medicul ortodont, în funcție de nevoile clinice, stilul de viață și bugetul fiecărui pacient. Programează-te la clinica Dental Art și hai să găsim tratamenul potrivit pentru tine.
-
Echipă cu experiență
-
Tehnologie de top
-
Toate serviciile la un loc
-
Tratament personalizat
Întrebări frecvente despre ortodonție
Se recomandă ca primul consult ortodontic să aibă loc în jurul vârstei de 7 ani. În această perioadă, copilul are în general o combinație de dinți de lapte și dinți permanenți, iar ortodontul poate evalua dezvoltarea maxilarelor și a dinților și poate identifica eventualele probleme ortodontice în stadiu incipient.
Este important să consulți un specialist în ortodonție pentru o evaluare profesională și pentru a obține un diagnostic timpuriu si precis, dar iată câteva semne comune care pot indica nevoia de tratament ortodontic:
1. Dinți strâmbi, inghesuiti sau daca exista spatii mari intre dinti.
2. Intarzierea eruptiei unor dinti permanenti sau persistenta unor dinti de lapte.
3. Muscatura incorecta cum ar fi o suprapunere excesivă a dintilor inferiori de catre cei superiori (deep-bite), o mușcătură deschisă (open-bite), pozitia mandibulei situata mai posterior sau anterior in raport cu maxilarul.
4. Muscatura inversa cauzata de maxilarul ingust.
5. Respiratia orala.
6. Probleme de inghitire, mestecare si pozitia incorecta a limbii.
7. Deformari ale maxilarelor cauzate de interpunerea unui obiect sau a buzei inferioare sau superioare intre dinti si sugerea policelui.
Da, aparatul dentar poate fi aplicat și la adulți. Nu există o limită de vârstă superioară pentru a beneficia de tratament ortodontic. Indiferent de vârstă, poți considera opțiunea unui aparat dentar dacă dorești să corectezi probleme ortodontice, cum ar fi un zambet inestetic, dinții înghesuiți sau o mușcătură incorectă.
Durata unui tratament ortodontic poate varia considerabil, în funcție de mai mulți factori: complexitatea cazului, tipul de aparat ortodontic utilizat, vârsta pacientului și cooperarea acestuia. In general, durata medie este intre 1,5 -2,5 ani.
Tratamentul ortodontic poate provoca o ușoară senzație de disconfort sau presiune imediat dupa aplicare și în timpul ajustarilor periodice ale aparatului ortodontic. Acest disconfort variaza de la ușor la moderat și poate dura câteva zile după fiecare ajustare (activare).
Utilizarea cerii ortodontice sau a produselor pentru calmarea disconfortului oral, recomandate de ortodont, pot ajuta la ameliorarea simptomelor.
De asemenea, se recomanda evitarea alimentelor de consistenta mai dura cat timp persista sensibilitatea dentara.
Aplicarea unui aparat dentar în sine nu cauzează apariția cariilor dentare. Cu toate acestea, purtarea unui aparat dentar poate face mai dificilă igiena orală corespunzătoare și poate crea un mediu favorabil pentru depunerea plăcii bacteriene, formarea cariilor sau a inflamatiei gingivale dacă nu sunt luate măsuri adecvate.
Este esențial să acorzi o atenție deosebită igienei orale atunci când porți un aparat dentar si sa urmezi instructiunile medicului ortodont.
În cazul purtării aparatelor ortodontice, igiena orală adecvată este crucială pentru menținerea sănătății dentare și prevenirea problemelor dentare cum ar fi cariile și inflamația gingiilor. Iată câteva sfaturi pentru a realiza corect igiena în cazul purtării aparatelor ortodontice:
- Periajul dentar regulat: Periajul dinților ar trebui realizat de cel puțin două ori pe zi, folosind o periuță de dinți medium. Asigurați-vă că periați atent fiecare dinte, inclusiv zona din jurul aparatului ortodontic și a bracket-urilor. Încercați să periați în jurul și de-a lungul firelor de arc, făcând mișcări delicate și circulare. Este important să acordați o atenție specială curățării spațiilor dintre bracket-uri și sub firul de arc.
- Utilizați ajutoare de curățare: Pentru a ajunge în zonele mai greu accesibile, puteți utiliza ața dentară sau periutele interdentare. De asemenea, se recomanda utilizarea irigatorului bucal.
- Clătirea cu apă de gură: Poate ajuta la reducerea bacteriilor și inflamației gingiilor.
- Evitați alimentele dure și lipicioase: Anumite alimente, cum ar fi nucile, bomboanele tari sau guma de mestecat, pot fi dificil de îndepărtat din aparatele ortodontice. Încercați să evitați aceste alimente și să optați pentru alimente moi și ușor de mestecat în timpul tratamentului ortodontic.
- Vizite regulate la ortodont și la medicul dentist: Programați-vă în mod regulat la consultatii de control și igienizări profesionale . Aceste vizite vor ajuta la monitorizarea progresului tratamentului ortodontic și la curățarea profesională a dinților.
1. Consultația inițială: În această etapă, veți avea o consultație inițială cu ortodontul pentru a evalua nevoile dumneavoastra ortodontice și pentru a discuta despre opțiunile de tratament. Ortodontul va evalua starea danturii, va realiza un set de fotografii extra-orale si intra-orale, radiografii, scanari si/sau amprente ale dintilor pentru a crea un plan de tratament personalizat.
2. Planificarea tratamentului: Pe baza evaluării inițiale, ortodontul va crea un plan de tratament personalizat. Aceasta implică stabilirea poziției ideale a dinților și determinarea mișcărilor necesare pentru a ajunge la această poziție.
3. Prezentarea planului de tratament și obtinerea consimțământului pacientului.
4. Pregătirea dinților: Înainte de aplicarea aparatului ortodontic fix, ortodontul poate recomanda efectuarea unor proceduri de igienizare profesională, curățarea dinților și tratarea cariilor existente. De asemenea, în unele cazuri, este necesară extracția unor dinți pentru a crea spațiu suficient pentru încadrarea dinților.
5. Aplicarea aparatului: Această etapă poate implica curățarea și uscarea dinților, aplicarea unui agent adeziv și fixarea bracket-urilor pe fiecare dinte.
6. Ajustări și vizite regulate: Pe parcursul tratamentului ortodontic, veți fi programat pentru vizite regulate la ortodont, aproximativ o dată la 4-6 săptămâni. În aceste vizite, ortodontul va face ajustări ale aparatului ortodontic prin schimbarea arcurilor, înlocuirea legăturilor elastice sau alte modificări necesare pentru a continua mișcarea dinților în direcția corectă.
7. Finalizarea tratamentului și aplicarea contentiei: După ce ortodontul consideră că tratamentul ortodontic este complet, aparatul ortodontic fix si adezivul de la nivelul dintilor va fi îndepărtat. Urmeaza sa fie aplicată contentia pentru a menține poziția corectă a dinților pe termen lung.
8. Dispensarizare regulată: verificarea stabilitatii contentiilor, a pozitiei dintilor și controlul muscaturii la intervale de 1,3,6 luni.
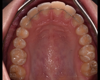
Există două tipuri principale de contenție utilizate în ortodonție: contenție fixă și contenție mobilă.
- Contenția fixă: Acest tip de contenție implică utilizarea unor dispozitive fixate permanent pe dinți.
De obicei, este folosit un fir de sârmă metalică (fir de retenție) care este lipit în spatele dinților,
astfel încât să nu fie vizibil în timpul zâmbetului.
Contenție fixă inferioară |
Contenție fixă superioară |
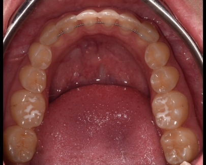
- Contenție mobilă: Acest tip de contenție constă într-o gutieră sau un dispozitiv similar,
care se poartă pe timp de noapte. Gutierele de contenție sunt personalizate pentru fiecare pacient
și sunt realizate din plastic transparent, având forma și alinierea dinților obținute la finalul tratamentului ortodontic.
![]() Contenție mobilă (gutieră) |
Contentia este necesară pentru o perioadă de timp destul de îndelungată pentru a permite stabilizarea și fixarea poziției corecte a dinților.
Această perioadă poate varia între 6 luni și 2 ani, în funcție de recomandările ortodontului și de particularitățile individuale ale fiecărui pacient. În anumite cazuri, de exemplu la adulți, contentia se menține toată viața.
Este important să urmați cu strictețe recomandările ortodontului cu privire la utilizarea și întreținerea dispozitivelor de contentie. De asemenea, programarea vizitelor regulate la ortodont și la medicul dentist este importantă pentru a monitoriza rezultatul obținut și pentru a menține o igienă orală adecvată în timpul purtării contentiei.
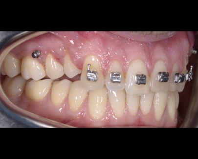
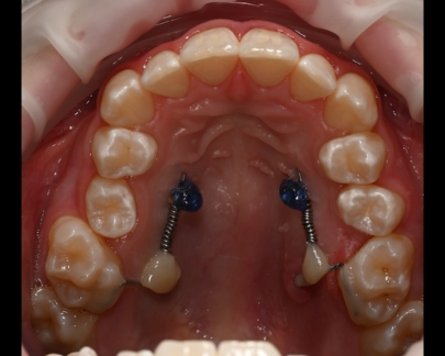
Mini implantul ortodontic este un dispozitiv mic din titan sau aliaj de titan care este utilizat pe perioada tratamentului ortodontic pentru a oferi ancorare suplimentară atunci când este necesară aplicarea unor forțe ortodontice mai complexe.
Acesta este inserat în osul alveolar, iar procedura de inserție este nedureroasă și efectuată sub anestezie locală.
![]() | ![]() | ![]() |
Scrasnitul dinților, cunoscut și sub denumirea de bruxism, poate fi un semnal de alarmă și ar trebui să fie investigat și tratat. Bruxismul este o afectiune caracterizata prin frecarea sau inclestarea dintilor, mai ales în timpul somnului
Desi cauzele bruxismului nu sunt cunoscute in totalitate, posibili factori declansatori sunt muscatura incorecta sau instabilă, stresul si anxietatea. Poate afecta atât copiii, cât și adulții.
Bruxismul sever poate duce la următoarele probleme: uzura excesiva a smaltului, mobilitate dentara, dureri faciale si sensibilitate musculara, dureri de cap, probleme de somn, suprasolicitarea articulatiei temporo-mandibulare cauzand zgomote la deschiderea/ închiderea gurii și limitand mișcarea mandibulei.
Daca ai orice simptom asociat bruxismului, recomandarea este să consulți un medic specialist pentru evaluare și tratament adecvat.
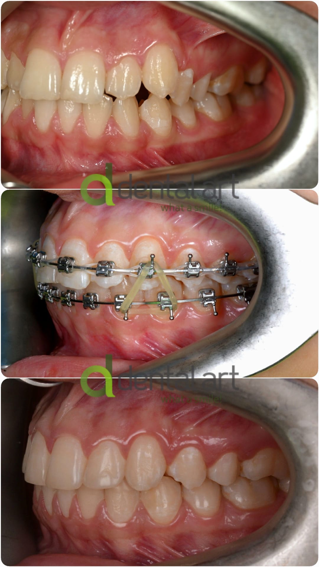
Sunt benzi elastice mici, din latex, folosite pentru corectarea mușcăturii și intercuspidarea dinților.
Elasticele se atașează de brackeții dinților superiori, respectiv inferiori și vin în diferite dimensiuni și grade de forță.
![]() | ![]() |
![]() | ![]() |
Elasticele ortodontice corectează raportul dintre maxilar și mandibulă (mușcătura). Sunt purtate conform indicațiilor medicului și sunt esențiale în multe tratamente pentru alinierea corectă a arcadelor.
Ai nevoie de o programare?
Contact : +40 771 732 938
Orar clinică
Luni – Vineri 9:00 – 21:00
Sâmbătă 9:00 – 14:00









