Aparate dentareclinica Oradea - Dental Art
La Clinica Dental Art, oferim aparate demtare de ultimă generație, personalizate pentru fiecare pacient.
Ai nevoie de o programare?
Contact : +40 771 732 938
Orar clinică
Luni – Vineri 9:00 – 21:00
Sâmbătă 9:00 – 14:00
0 +
pacienți tratați
Fiecare pacient e unic, iar soluțiile noastre sunt gândite cu grijă, în funcție de nevoile fiecăruia.
0 +
ani experiență
Punem experiența și tehnologia de top în slujba fiecărui zâmbet — cu soluții adaptate.
0 +
tratamente
Toate serviciile stomatologice, în aceeași clinică, pentru un tratament complet și eficient.
0 +
medici în echipă
Suntem o echipă unită, iar asta face posibilă o abordare completă și corectă a fiecărui caz.
Ortodonție Oradea - Soluții moderne pentru un zâmbet perfect
La Dental Art Oradea, medicii noștri oferă servicii complete de ortodonție, de la aparate dentare fixe și mobile până la tratamente cu Invisalign. Ne adaptăm nevoilor fiecărui pacient pentru a obține un zâmbet sănătos și estetic.
Aparate dentare fixe
Aceste aparate oferă corecție eficientă a alinierii dinților, fiind potrivite pentru toate vârstele. Montate de un medic ortodont din Oradea, acestea sunt personalizate pentru a asigura un zâmbet perfect și sănătos.
Aparate dentare mobile
Special concepute pentru copii și adolescenți, aparatele mobile sunt ușor de purtat și ajustat. Acestea pot fi scoase în timpul mesei sau igienei dentare, oferind flexibilitate în tratament.
Invisalign
Soluția modernă, confortabilă și discretă pentru alinierea dinților. Gutierele transparente, personalizate pe nevoile fiecărui pacient, corectează zâmbetul eficient și rapid, fără a compromite estetica sau confortul.
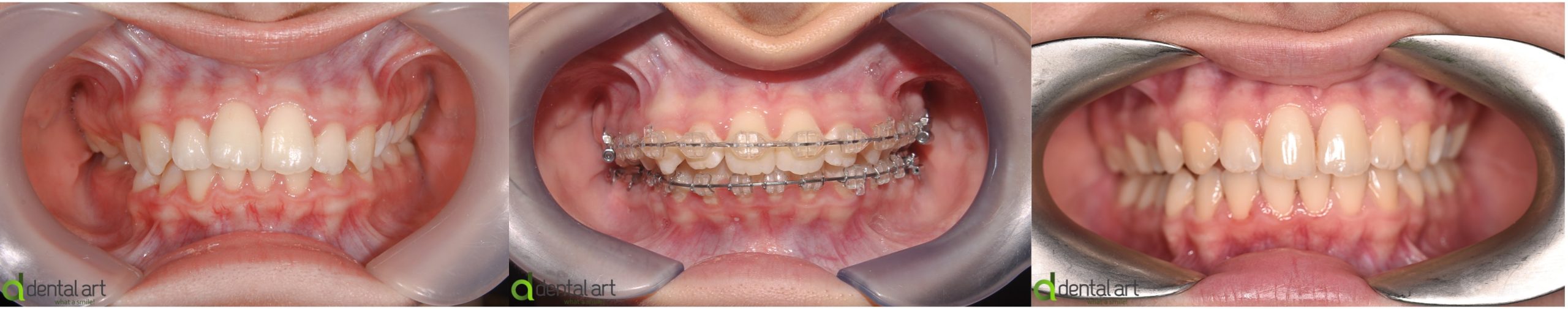
Rezultate care îți transformă zâmbetul
Descoperă transformările pacienților noștri! De la aliniamente dentare complexe la zâmbete drepte și sănătoase, tratamentele noastre ortodontice din Oradea oferă soluții durabile și estetice pentru fiecare caz.
Ce spun pacienții despre ortodonția la Dental Art Oradea
Experiențele pacienților noștri în ortodonție vorbesc de la sine! Descoperă de ce medicii ortodonți din Oradea sunt alegerea preferată pentru un zâmbet sănătos și frumos. Află cum am transformat încrederea și zâmbetul celor care ne-au ales.
Julia Markovits21/09/2024 Volt egy fogrekonstrukcióm. Teljesen fájdalommentes volt és nagy precizitással végezték. A klinika szuper tiszta, és a legújabb technológiával rendelkeznek. Most volt először hogy ki töltöttem egy kérdőívet tábleten és nem papíron 😊 Ajánlom. Kinga Sebestyen18/09/2024 they are professional people and work very qualitatively. I am extremely satisfied Ileana Balota10/09/2024 De la atmosfera primitoare, curățenia desăvârșită și tehnologie de anvergură, sunt doar câteva dintre apelativele cu care aș putea descrie această locație, iar profesionalismul Dr Sîrca, mă face să trec peste toate experiențele traumatizante trăite anterior. Madalina Bubela06/09/2024 Totul la superlativ Laszlo Mezei04/09/2024 My wife and I visited Dental Art to get our dental work done. When we arrived, we were impressed at the clinic's cleanliness and appearance. It is very well organized and well equipped. We found the service to be excellent. All the staff were very kind and patient. They were very transparent and informative of everything throughout our visit. The work they performed was very well done and we would recommend this clinic for any dental needs someone may have. Dorina Ghiurcuta01/09/2024 Mulțumesc echipei Dental Art, profesioniști de la primirea călduroasă,la toată echipa,medici, asistente,tehnicieni. Recomand cu mare încredere! Andreea Marge31/08/2024 Prima dată am apelat la clinica DentalArt din dorința și încrederea ca aceștia îmi vor putea oferi zâmbetul perfect, ceea ce au și făcut! Sub îndrumarea atentă a doamnei doctor Pantel, am reușit să îmi corectez mușcătura și poziția dinților apelând la un aparat dentar fix, pe care l-am purtat timp de aprox 2 ani. La clinică am mai apelat la servicii de extracție masele de minte, implant dentar, detartraj și igiena dentară. Toate aceste servicii au decurs foarte bine, personalul medical fiind foarte bine pregătit. Delia de la front office a fost mereu acolo să mă întâmpine cu un zâmbet cald și să îmi ofere toate informațiile de care am avut nevoie. Mulțumesc întregii echipe DentalArt pentru tot profesionalismul și amabilitatea oferită! P S31/08/2024 Profesionalism, bun simț și localurile foarte bine dotate! Vivian-Viorel Kiorean30/08/2024 Clinica Dental Art, este pt mine locul unde se întâlnește calitatea serviciilor cu profesionalismul medicilor și a întregului personal!Incarca mai mult
Medicii noștri ortodonți - Experți în alinierea zâmbetului tău
La Dental Art Oradea, vei fi întâmpinat de o echipă de medici ortodonți cu experiență vastă, pregătiți să îți ofere cele mai moderne și eficiente soluții pentru corectarea danturii. Suntem dedicați sănătății și frumuseții zâmbetului tău, folosind tehnici avansate și un plan de tratament personalizat pentru fiecare pacient.
Dental Art Oradea - Clinica ta de încredere în ortodonție
La Dental Art Oradea, te întâmpinăm într-un mediu modern, dotat cu aparatură de ultimă generație, creat special pentru confortul și siguranța pacienților noștri. Aici, fiecare detaliu este gândit pentru a-ți oferi o experiență eficientă în îngrijirea dentară, alături de medicii noștri specializați în ortodonție.
Programează-te la un medic ortodont
Descoperă soluții personalizate pentru sănătatea zâmbetului tău la clinica stomatologică din Oradea. Contactează-ne acum!












